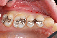
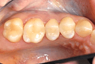
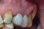
CAD/CAM(セレック)

当院ではこの度、即日短時間で金属の歯をセラミックの白い歯に置き換えることができる機器(セレック)を導入いたしました。






1.即日で治療が完結
詰め物や被せ物の治療には、型取りをしてから1週間程度お待ちいただく必要がありました。
この機器はCADCAMを利用して、院内でセラミックブロックを削り出して詰め物を作製するため、最短60分で1本の歯を治療することができます。型取りは高精細カメラで行いますので、従来の型取り特有の気持ち悪さもありません。
一回で多くの歯を治療することも可能です。
2.虫歯になりにくく、トラブルを見つけやすい素材
セラミックによる治療は見た目の綺麗さだけでなく、虫歯になりにくいメリットがあります。
また、仮に虫歯になったとしても早期に発見できます。
3.高価なセラミック治療をリーズナブルにご提供
セラミックの歯は金属の歯に比べて作製に時間と労力がかかるため、大変高価でした。
今回導入した機器では作製にかかる人件費をカットできるため、従来の60~70%の治療費用で ご提供することができます。
*診療科目*
一般歯科 / 小児歯科 / 口腔外科 / 審美歯科 / 予防歯科 / 矯正歯科
*電話*
047-463-3318
*診療時間*
【 午前 】9:30~13:00
【 午後 】14:30~20:00
【 休診日 】水曜、日曜、祝日
※祝日のある週は水曜日診療もいたします。
*住所*
〒274-0065 千葉県船橋市高根台 7-13-22
地図はこちら
*最寄り駅*
高根公団駅より 徒歩1分
*駐車場*
駐車場4台完備 小西駐車場 No.2~5
住所:船橋市高根台7-11-15


